What's new
Organizing a large-scale interrater reliability study using Slide Score image management platform
Breast Cancer Research and Treatment recently published an article describing a large-scale study performed using Slide Score.
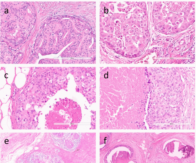
Researchers from the Netherlands Cancer Institute on behalf of the Grand Challenge PRECISION consortium digitalized 353 slides from archived breast tissue of patients with ductal carcinoma in situ (DCIS). DCIS can in some patients develop into dangerous invasive breast cancer. 38 pathologists from all over Europe scored these slides for 10 histopathological DCIS features (among others grade, mitotic activity, growth pattern or lymphocytic infiltrate). The goal was to assess interrater reliability and to find out which of these variables predicted the risk of developing invasive breast cancer in these DCIS patients.
Each pathologist was only shown 146 slides out of the 353, to reduce the workload and avoid rater dropout. Our slide management platform, Slide Score, was customized to show each pathologist a unique subset of slides in a unique order to avoid bias, while at the same time collecting a sufficient number of scorings per slide. After completion each participant received an overview that compared their answers to the majority opinion for all slides that they scored for each of the scored features Find out how Slide Score supports interobserver studies
The cloud server on which Slide Score ran was dynamically resized to minimize the costs while providing a very fast slide viewer experience to all participants even during a mini symposium when a large number of them viewed the pathology slides at the same time.
Are you planning a project that requires multiple pathologists scoring slides or complicated scoring sheet layouts? Contact us for a free consultation!

DCIS Features
Ref: Groen, E.J. et al. Prognostic value of histopathological DCIS features in a large-scale international interrater reliability study. Breast Cancer Res Treat (2020). https://doi.org/10.1007/s10549-020-05816-x

